白い歯で、笑顔に自信を
LOVE whitening 初回体験 2,200円

初回はカウンセリングがあるため、90分程お時間かかります。

新型コロナウイルス

感染防止対策実施中

当店では新型コロナウイルス感染症予防および拡散防止のため、社員一同下記の対応を徹底しております。

  • ・手洗い
  • ・換気
  • ・消毒
  • ・マスク着用
  • ・検温・体調チェック
ホワイトニングしてみたいけど・・・
費用が高そう。
痛いって聞いたことが
あるから不安。
本当に効果出るの?
歯の黄ばみが
気になる!
無理に勧誘されそうで
不安。
時間がかかるのは
嫌!
費用が高そう。
本当に効果出るの?
痛いって聞いたことが
あるから不安。
時間がかかるのは
嫌!
歯の黄ばみが
気になる!
無理に勧誘されそうで
不安。

LOVE ホワイトニングにお任せください

Whitening staff

whitening staff

LOVEホワイトニングが 選ばれる理由

理由1

業界最安級!! 初回2,200円!!

「自分の笑顔に自信を持ちたい方」を応援したい。だから試しやすい価格をご提案しています。また、LOVEホワイトニングは口コミやご紹介で多くの方が来店されています。宣伝のための広告費用がいらない分、ホワイトニングをお安く提供できるのです。また、1回の来店で所要30分で完了できるのでお忙しい方でも通いやすいです。

理由2

1回でも効果を実感!!

歯の表面には、ステインなどの汚れが付着しています。ホワイトニングジェルに含まれる酸化チタンが青色のLEDの光と反応し、汚れを分解、除去します。ホワイトニングはこの光触媒作用を利用して本来の白さを取り戻していきます。
1照射だけでも歯は1〜2トーン白くなるため、初回だけでも効果を実感することができます。

理由3

完全予約制 個室ブースでプライベート空間

完全予約制
個室ブースでプライベート空間

ほのかに香るアロマを備えた、プライベート空間で施術を受けていただきます。個室、半個室なので、プライバシーの面や感染面にも配慮されております。また、店舗によってはフットマッサージを設置しており、ホワイトニングをしながらマッサージを受けることができます。LOVEホワイトニングはセルフホワイトニング専門店なので予約が取りやすいため、通いやすいです。

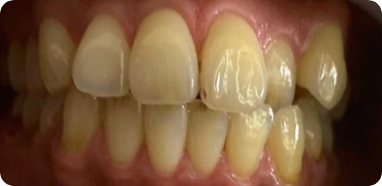
ビフォー アフター

3
照射

Before

After

10
照射

Before

After

20
照射

Before

After

お客様の声

リラックスして施術を受けられました
新谷様の顔
新谷様

初めてのホワイトニングで緊張していましたが、お店の雰囲気も落ち着いていて、スタッフの方も丁寧に対応してくれたので、リラックスして施術を受けられました。また、1回でも白くなったことを実感でき大変満足しました!

通うごとに歯が白くなってきて嬉しい
石川様の顔
石川様

何度か来店していますが、通うごとに歯が白くなってきて嬉しいです。友達と写真を撮るときも、歯を思いっきり見せて笑えるようになりました。また、短時間で終わるので、仕事が忙しい時期も隙間時間に通えて、続けやすいです。

1回でもはっきり効果を実感
清水様の顔
清水様

知り合いの紹介で来店しました。セルフでもやり方を丁寧に説明してくれるので、初めてでも簡単にできました。1回でもはっきり効果を実感できました。価格も安く、続けやすいので、これからも通わせていただくことにしました!

予約する
歯

歯科ホワイトニング
との比較

歯科
ホワイトニング
セルフ
ホワイトニング
料金 高い
1〜2万円 / 1照射
安い
2〜5千円 / 1照射
歯の痛み 多い なし
作用 表面のエナメル質を
溶かし漂白する
汚れを浮き上がらせ
除去する
効果 漂白され白くなる 本来の自然な白さを
戻す
安全性 高濃度の薬剤を使用
するため、歯にダメージ
がある可能性がある
食品にも使用の
無機化合物で安全
制限 着色の恐れのある
飲食の制限
なし
初回1980円

初回はカウンセリングがあるため、90分程お時間かかります。

施術の流れ

step1

ご予約

完全予約制です。各店舗のホットペッパーから申し込みください。

step2

ご来店

カウンセリングシートをご記入頂いてホワイトニングの説明を行います。

step3

施術前の
歯の色をチェック

どのくらいの変化か確認いただくためにホワイトニングの前後で歯の色をチェックして頂きます。

step4

ホワイトニング

やり方を説明しながら一緒にホワイトニングのお手伝いをさせて頂きますので誰でも簡単に安心してできます。

step5

歯の色の
変化チェック

これまでの統計的に1来店2照射につき平均2〜3トーンの変化が実感できるかと思います。

step6

お会計

今後も続けてホワイトニングをされる方にはお得な定額制プランの提案を初めのカウンセリグ時にさせて頂いておりますので、急な提案や、押し売りなどは一切致しません。

Q&A

A.
ホワイトニング専用のジェルをお客様ご自身で塗っていただき、LEDライトを当てるホワイトニングです。手順はスタッフが丁寧に説明させていただきますので、安心してホワイトニングを行っていただけます。
A.
簡単に説明しますと、セルフホワイトニングは『低価格(1回2000円〜)』『安心(痛みがない、食事制限なし)』、『安全(歯茎へのダメージが少ない)』など、不安なく歯を白くできるという点です。それにサロンなのでアットホームな空間で、心地良い時間を過ごすことができ、『こんなホワイトニングサロンは初めて』とお客様から感動の声が続出。LOVEホワイトニングのファンになってくれる方が沢山おられます。
A.
体に安全なホワイトニングジェルを使用しておりますので痛みはございません。知覚過敏の方でまれに少しシミる感覚になられる方はおります。歯へのダメージもございません。
A.
個人差がございますが、10回程度で目に見えて変化を実感される方が多いです。
A.
当店では現金、クレジットカード、デビットカード、PayPayでのお支払いが可能です。
A.
月に6照射までホワイトニングできるプランがございます。一度の来店で6照射する方もいますし2〜3来店に分けて来られる方もおります。どのような通い方でもそこまで差はなく白くなっていきますので通いやすい頻度で来て頂ければと思います。
A.
原則前日19時までの変更キャンセルは可能です。その際は予約店舗にご連絡ください。

店舗一覧&予約

LOVEホワイトニング銀座店
住所
〒104-0061
東京都中央区銀座1-15-13 VORT銀座レジデンス1204号
電話番号
07089063877
営業時間
平日11:00〜21:00 土日祝日:10:00〜20:00
最終受付は閉店時間の1時間前
(初回の方は閉店時間の90分前)
定休日
不定休
メールアドレス
lovewhitening.ginza@gmail.com
予約する
LOVEホワイトニング池袋店
住所
〒171-0022
東京都豊島区南池袋1-11-13 リフュージュアイサウス302号室
電話番号
08041820102
営業時間
平日11:00〜21:00 土日祝日:10:00〜20:00
最終受付は閉店時間の1時間前
(初回の方は閉店時間の90分前)
定休日
不定休
メールアドレス
lovewhitening.ikebukuro@gmail.com
予約する
LOVEホワイトニング渋谷店
住所
〒150-0011
東京都渋谷区東1-26-32 拓新ビル4F
電話番号
08056784280
営業時間
平日11:00〜21:00 土日祝日:10:00〜20:00
最終受付は閉店時間の1時間前
(初回の方は閉店時間の90分前)
定休日
不定休
メールアドレス
lovewhitening.shibuya@gmail.com
予約する
LOVEホワイトニング新宿店
住所
〒106-0022
東京都新宿区新宿5-10-5 塚本ビル 2階
電話番号
07014779625
営業時間
平日11:00〜21:00 土日祝日:10:00〜20:00
最終受付は閉店時間の1時間前
(初回の方は閉店時間の90分前)
定休日
不定休
メールアドレス
lovewhite.shinjyuku@gmail.com
予約する
LOVEホワイトニング下北沢店
住所
〒155-0031
東京都世田谷区北沢2-10-18 下北沢ハイタウンB棟301号
電話番号
07083190839
営業時間
11:00〜21:00
最終受付は閉店時間の1時間前
(初回の方は閉店時間の90分前)
定休日
不定休
メールアドレス
lovewhitening.shimokitazawa@gmail.com
予約する
LOVEホワイトニング恵比寿店
住所
〒150-0013
東京都渋谷区恵比寿1-21-18 ライツ恵比寿201
電話番号
08023790429
営業時間
平日11:00〜21:00 土日祝日:10:00〜20:00
最終受付は閉店時間の1時間前
(初回の方は閉店時間の90分前)
定休日
不定休
メールアドレス
lovehowaebisu@gmail.com
予約する